前牙树脂修形与抛光病例
	           
			    
				  核心提示:前牙树脂修形与抛光病例
	             
	病例一;
	(科尔)Hawe抛光系统;产地美国KERR,型号;5100
全酸5代粘结系统,单色3Mz350XT.A3E, 没做洞斜面和底板。
先是黄标车针修形再(下图)蓝到灰
不喷水干抛转速要调快点,边磨边让助手用三用枪吹去牙面上的粉末,注意温度 (干抛时会产生热)从粗到细完成后检查如下图
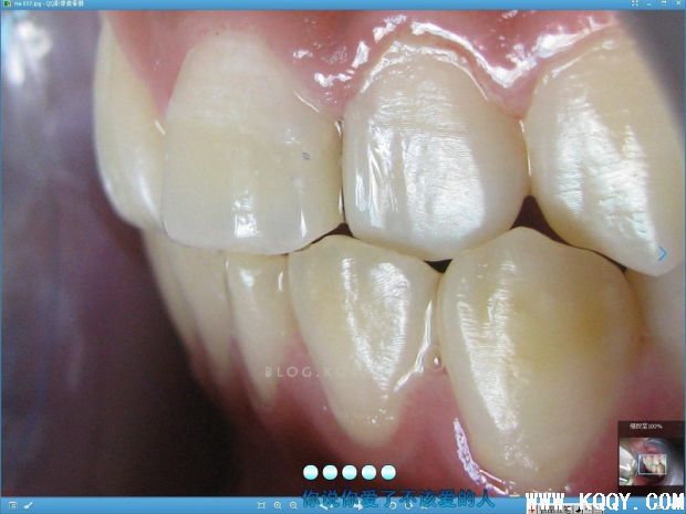
	检查;
	要吹干燥牙面从多个角度观察才能看到不够光滑的痕迹;
	(上图)21效果不理想,再退回用黄标车针整平接口,重粗到细到超细抛一次 下图,最好在扩大镜下抛光
抛光前后11间的间隙过一段时间自动关闭。在正畸中的理论中牙位关系可以经过牙合关系自动调整。当然未关闭前要保持间隙里干净无异物嵌塞。比如避免饮食的不良习惯,使用牙线等。
	病例二
	初诊2012年10月27日, 2013年9月拆的托槽
病例三
黄针修形后,蓝色细抛再换灰色超细抛光,超细灰轮不喷水干抛时,转速要调快点边磨边让助手用三用枪吹去牙面上的粉末,同时能降低温度。从这个侧面观察颜色方面 基本过得去,但可以看出补过的地方太光滑,不像旁边的原牙有自然的横纹,看来要做到不易觉察的修复还得继续努力!!!
沟通用病例
相关阅读:
TAGS: 
 
         
	    
	   	
		
        
		 
	     
            
		    0% (0)
            
	      
		  
            
	        0% (10) 
		
发表评论
用户评论推荐文章
热门文章
热销排行
             








