P>扁平苔藓(lichen planus,LP)是较为常见的一种皮肤粘膜病。Wilson(1869)首先报道了此病。据统计大约有44%的皮肤扁平苔藓患者伴发有口腔粘膜病变,口腔单独出现病变者不少。本病的病因目前仍不明了。据大量研究资料提示,本病的病因与发生是多因素的,其中有可能与局部的慢性机械损伤、药物刺激、牙科材料、口腔内的流电刺激以及精神紧张、全身性疾患和遗传因素等有关。还可能与某些细菌、病毒感染相关。近年的研究表明,免疫调节异常与本病的发生密切相关,特别是T细胞介导的免疫反应对本病的发病起了重要作用。研究发现,随着疾病的进展,不仅辅助性T细胞增多,而且抑制性T细胞也增多,但B细胞与自然杀伤细胞很少出现。这表明由于T细胞的被激活,产生了多种细胞因子(如IL-4,IL-6,TNF-α等),促进了T细胞介导的免疫反应过程。因此,T细胞功能缺陷或降低,是本病的一项客观检测指标。
临床特点:
本病好发于40~49岁的女性,患病率为0.5%左右,发病部位多见于颊、舌、唇及牙龈等粘膜, 病变常为对称性分布,尤以颊粘膜最为多见。典型病损是在粘膜上出现白色或灰白色的条纹,条纹之间的粘膜发红,这些条纹可呈网状、线状、环状或树枝状。
1.皮肤损害:
扁平而有光泽的多角形丘疹,如黄豆大、绿豆大,呈紫色或暗红色。丘疹融合如苔藓状,皮肤粗糙,丘疹间可见明显的皮肤皱纹,多呈对称性病损。瘙痒是皮肤损害的特点。
2.口腔粘膜损害:
往往有明显的对称性或双侧性。患者有粘膜粗糙感、紧缩感与轻度刺激痛。
3.口腔扁平苔藓的发生部位与临床类型:
1)颊粘膜和前庭沟:是扁平苔藓最常见的部位。
形态特点:
①短索状:条纹较粗,灰白色,长约1~2cm,扭曲、直或弧形。
②树枝状:许多粗细条索状相互交叉呈扁状扩散似树枝。
③网状:为细而稠密的白纹,可伴有糜烂。
④丘疹:粟米粒或针尖状小点,微隆起,可见白纹状损害。
⑤环状:呈圆环形,直径在0.5cm以内,中央与周围色泽一样。
2)舌部:圆形或椭圆形的灰白色或珠光色斑块,在舌背常呈对称性发生,周围可见白纹,舌腹和口底常为不规则圆形网状损害,可发生糜烂。

3)唇红部:下唇多于上唇,多呈网状、条纹状,表面常有鳞屑、糜烂后常形成黑色血痂。

4)腭部:较少发生,软腭部以粟米大小的水疱多见,硬腭常为紫红色的带状损害。

5)牙龈:灰白色斑块,网状或红色小点状损害。

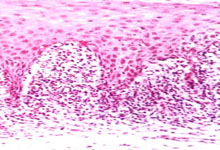
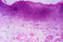
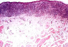
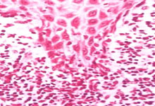
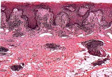
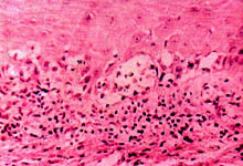
病理特点:
1.上皮改变:
上皮过度正角化或过度不全角化,也可无角化。棘细胞层不规则增厚或萎缩,可同时存在。上皮钉突不规则增生,延伸到固有层,呈“锯齿状”改变,但在口腔粘膜扁平苔藓较少见。基底细胞层水肿、液化变性显著,可见上皮和结缔组织分离,形成上皮下疱。基底膜区界限不清,可见嗜酸带宽约20um,无细胞浸润。

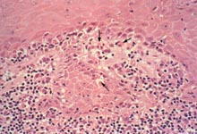
2.固有层改变:
炎细胞浸润主要是淋巴细胞,还有单核细胞、浆细胞和中性粒细胞。炎细胞浸润带与上皮之间界限不清,而与结缔组织之间界限清楚。炎细胞浸润带中细胞密度与分布的宽度较均匀。
3.胶样小体(colloid body or Civatte body):
在上皮的棘层、基底层或粘膜固有层可见圆形或卵圆形的胶样小体,其直径平均为10μm左右,为均质性嗜酸性,PAS染色阳性呈玫瑰红色。这种小体可能是细胞凋亡的一种产物。

治疗:
主要包括三个方面:
一、治疗诱因:积极治疗可能导致扁平苔藓的各种疾病,如胃肠功能紊乱、内分泌失调、药物过敏、感染、精神因素等。
二、局部治疗:
1 、病变轻无自觉症状者,可定期观察,禁忌烟、酒、辛辣等刺激。
2 、病损局限者,可在粘膜下注射醋酸氢化泼尼松 + 普鲁卡因溶液,或维生素 B12+ 普鲁卡因溶液。
3 、局部涂布 0.1% 维甲酸软膏或贴维甲酸药膜。
相关阅读:
发表评论
用户评论







