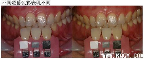
现在口腔修复中牙技师有时必须到诊所所或医院院帮病人拍取口內的照片,以便病患资料建档及牙齿颜色的比对,如技师法到现场拍摄时,诊所或医院就会自己帮病患拍摄,再mail给牙技所。正因为如此,就会有很多因素影响照片呈现的色彩,如:相机色温沒有调好、莹幕色彩值不正確或是現場環境光…等等,上述很多的因素都会造成照片呈现的色彩与病患口內的情形有所不同,所以才必须要进行色彩管理,才能使照片颜色与口內的情形能大致相同。
因为仪器和环境的不同所呈现的颜色就不同,这就是为什么要做色彩管理的必要性。才能使呈现的色彩尽可能保持原来的颜色。
目前常见的影像色彩问题有那些呢?
- 1. 不同的显示器有不同的输出结果:与屏幕的好坏或有沒有调整校正有关
- 2. 显示器跟印表机输出结果不同
- 3. 原稿扫描的档案,与显示器颜色的差异
- 4. 不同色温光源下,演色性不同造成的差异:每个灯管都有自己的色温,这些都是会造成与实体颜色落差的因素,所以只要靠色彩管理就能减少色彩不同的差异,加上再利用相机拍摄时灰卡校正及Photoshop的RGB校正功能使色彩跟实际色彩更相近。
发表评论